అంధులకు చూపు... అద్భుతం సృష్టిస్తున్న కొత్త టెక్నాలజీ!
- శాశ్వత అంధులకు చూపు తెప్పిస్తున్న 'ప్రిమా' అనే వైర్లెస్ ఇంప్లాంట్
- వృద్ధాప్య అంధత్వంతో బాధపడుతున్న వారిపై విజయవంతమైన ప్రయోగాలు
- క్లినికల్ ట్రయల్స్లో 80 శాతానికి పైగా సానుకూల ఫలితాలు
- పరికరం సాయంతో అక్షరాలు, పుస్తకాలు చదువుతున్న బాధితులు
- వైద్య చరిత్రలో ఇదొక అద్భుతమైన విజయమన్న పరిశోధకులు
- ప్రత్యేక కళ్లద్దాలు, కంటిలోని చిప్ ద్వారా పనిచేసే టెక్నాలజీ
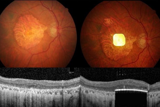
శాశ్వత అంధత్వంతో బాధపడుతున్న లక్షలాది మందికి వైద్య శాస్త్రం సరికొత్త ఆశను చూపిస్తోంది. వయసు పెరగడం వల్ల వచ్చే తీవ్రమైన కంటి సమస్య (ఏజ్-రిలేటెడ్ మాక్యులార్ డీజెనరేషన్ - AMD) కారణంగా పూర్తిగా చూపు కోల్పోయిన వారికి సైతం మళ్లీ దృష్టిని ప్రసాదించే ఒక వైర్లెస్ రెటీనా ఇంప్లాంట్ అద్భుతమైన ఫలితాలను ఇస్తోంది. 'ప్రిమా' (PRIMA) అనే ఈ పరికరం సాయంతో అంధులు సైతం ఇప్పుడు అక్షరాలను, పదాలను చదవగలుగుతున్నారు. సోమవారం వెలువడిన క్లినికల్ ట్రయల్స్ ఫలితాలు ఈ విషయాన్ని స్పష్టం చేశాయి.
ప్రపంచవ్యాప్తంగా 50 లక్షల మందికి పైగా వృద్ధులు ఏఎండీ కారణంగా శాశ్వత అంధత్వంతో బాధపడుతున్నారు. ఇలాంటి వారికి చికిత్స అందించేందుకు యూనివర్సిటీ కాలేజ్ లండన్, పిట్స్బర్గ్ యూనివర్సిటీ, స్టాన్ఫోర్డ్ మెడిసిన్ పరిశోధకులు సంయుక్తంగా ఈ 'ప్రిమా' పరికరాన్ని అభివృద్ధి చేశారు. దీనిపై నిర్వహించిన క్లినికల్ ట్రయల్స్లో భాగంగా, 32 మంది రోగులకు ఈ పరికరాన్ని అమర్చారు. ఏడాది తర్వాత పరిశీలించగా, వారిలో 27 మంది అక్షరాలను స్పష్టంగా చదవగలిగినట్లు తేలింది.
ఈ పరికరం పనితీరు చాలా ప్రత్యేకంగా ఉంటుంది. రోగికి ప్రత్యేకమైన కళ్లద్దాలు ఇస్తారు. వాటికి ఒక చిన్న కెమెరా అమర్చి ఉంటుంది. కంటిలోని రెటీనాలో 2x2 మిల్లీమీటర్ల వైర్లెస్ చిప్ను (ఇంప్లాంట్) అమర్చుతారు. కళ్లద్దాల కెమెరా బయటి దృశ్యాలను చిత్రీకరించి, ఆ సమాచారాన్ని ఇన్ఫ్రారెడ్ కాంతి రూపంలో కంటిలోని చిప్పైకి పంపుతుంది. ఆ చిప్ కాంతిని విద్యుత్ సంకేతాలుగా మార్చి, రెటీనాలోని మిగిలిన కణాలను ఉత్తేజపరిచి, ఆ సమాచారాన్ని మెదడుకు చేరవేస్తుంది. తద్వారా రోగి దృశ్యాలను చూడగలుగుతారు.
ఈ పరిశోధన ఫలితాలపై పిట్స్బర్గ్ యూనివర్సిటీ ఆప్తమాలజీ విభాగం ఛైర్మన్ జోస్-అలైన్ సాహెల్ మాట్లాడుతూ, "చూపును తిరిగి తెప్పించే ప్రయత్నంలో ఇంత పెద్ద సంఖ్యలో రోగులపై ఇలాంటి సానుకూల ఫలితాలు రావడం ఇదే మొదటిసారి. 80 శాతానికి పైగా రోగులు అక్షరాలు, పదాలు చదవగలుగుతున్నారు. వారిలో కొందరు పుస్తకంలోని పేజీలను కూడా చదువుతున్నారు" అని హర్షం వ్యక్తం చేశారు. ఈ అధ్యయన వివరాలను ప్రఖ్యాత 'న్యూ ఇంగ్లండ్ జర్నల్ ఆఫ్ మెడిసిన్' ప్రచురించింది. ప్రయోగాల్లో పాల్గొన్న వారిలో 84 శాతం మంది తమ రోజువారీ పనులకు ఈ కృత్రిమ దృష్టిని వాడుతున్నట్లు తెలిపారు. ఒక రోగి ఏకంగా 12 లైన్ల వరకు చదవగలిగేలా దృష్టిని మెరుగుపరచుకోవడం విశేషం.
ప్రపంచవ్యాప్తంగా 50 లక్షల మందికి పైగా వృద్ధులు ఏఎండీ కారణంగా శాశ్వత అంధత్వంతో బాధపడుతున్నారు. ఇలాంటి వారికి చికిత్స అందించేందుకు యూనివర్సిటీ కాలేజ్ లండన్, పిట్స్బర్గ్ యూనివర్సిటీ, స్టాన్ఫోర్డ్ మెడిసిన్ పరిశోధకులు సంయుక్తంగా ఈ 'ప్రిమా' పరికరాన్ని అభివృద్ధి చేశారు. దీనిపై నిర్వహించిన క్లినికల్ ట్రయల్స్లో భాగంగా, 32 మంది రోగులకు ఈ పరికరాన్ని అమర్చారు. ఏడాది తర్వాత పరిశీలించగా, వారిలో 27 మంది అక్షరాలను స్పష్టంగా చదవగలిగినట్లు తేలింది.
ఈ పరికరం పనితీరు చాలా ప్రత్యేకంగా ఉంటుంది. రోగికి ప్రత్యేకమైన కళ్లద్దాలు ఇస్తారు. వాటికి ఒక చిన్న కెమెరా అమర్చి ఉంటుంది. కంటిలోని రెటీనాలో 2x2 మిల్లీమీటర్ల వైర్లెస్ చిప్ను (ఇంప్లాంట్) అమర్చుతారు. కళ్లద్దాల కెమెరా బయటి దృశ్యాలను చిత్రీకరించి, ఆ సమాచారాన్ని ఇన్ఫ్రారెడ్ కాంతి రూపంలో కంటిలోని చిప్పైకి పంపుతుంది. ఆ చిప్ కాంతిని విద్యుత్ సంకేతాలుగా మార్చి, రెటీనాలోని మిగిలిన కణాలను ఉత్తేజపరిచి, ఆ సమాచారాన్ని మెదడుకు చేరవేస్తుంది. తద్వారా రోగి దృశ్యాలను చూడగలుగుతారు.
ఈ పరిశోధన ఫలితాలపై పిట్స్బర్గ్ యూనివర్సిటీ ఆప్తమాలజీ విభాగం ఛైర్మన్ జోస్-అలైన్ సాహెల్ మాట్లాడుతూ, "చూపును తిరిగి తెప్పించే ప్రయత్నంలో ఇంత పెద్ద సంఖ్యలో రోగులపై ఇలాంటి సానుకూల ఫలితాలు రావడం ఇదే మొదటిసారి. 80 శాతానికి పైగా రోగులు అక్షరాలు, పదాలు చదవగలుగుతున్నారు. వారిలో కొందరు పుస్తకంలోని పేజీలను కూడా చదువుతున్నారు" అని హర్షం వ్యక్తం చేశారు. ఈ అధ్యయన వివరాలను ప్రఖ్యాత 'న్యూ ఇంగ్లండ్ జర్నల్ ఆఫ్ మెడిసిన్' ప్రచురించింది. ప్రయోగాల్లో పాల్గొన్న వారిలో 84 శాతం మంది తమ రోజువారీ పనులకు ఈ కృత్రిమ దృష్టిని వాడుతున్నట్లు తెలిపారు. ఒక రోగి ఏకంగా 12 లైన్ల వరకు చదవగలిగేలా దృష్టిని మెరుగుపరచుకోవడం విశేషం.