మెడ ఎముకలు దెబ్బతిని.. మెడ నిలబెట్టలేని చిన్నారికి కిమ్స్ వైద్యుల ప్రాణదానం
* అరుదైన ఇన్ఫెక్షన్తో బాధపడుతున్న మూడేళ్ల పాప
* అత్యంత కీలకమైన శస్త్రచికిత్స
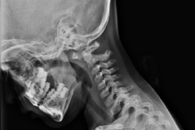
హైదరాబాద్, సెప్టెంబర్ 24, 2022: సాధారణ జలుబుతో మొదలై, ఇన్ఫెక్షన్ వ్యాపించి.. మెడ ఎముకలు తీవ్రంగా దెబ్బతిని ప్రాణాపాయంలో పడిన ఓ మూడేళ్ల చిన్నారికి కిమ్స్ ఆస్పత్రి వైద్యులు సంక్లిష్టమైన శస్త్రచికిత్స చేసి, ప్రాణాలు నిలబెట్టారు. ఈ బాలికకు వచ్చిన సమస్యను, ఆమెకు అందించిన చికిత్స వివరాలను కొండాపూర్ కిమ్స్ ఆస్పత్రికి చెందిన కన్సల్టెంట్ ఆర్థోపెడిక్స్, స్పైన్ సర్జన్ డాక్టర్ కె. శ్రీకృష్ణ చైతన్య, కిమ్స్ కడల్స్ ఆస్పత్రికి చెందిన చిన్నపిల్లల వైద్య నిపుణుడు డాక్టర్ పరాగ్ డెకాటే తెలిపారు.
"అట్లాంటో ఆక్సియల్ ఇన్స్టెబిలిటీ (మెడ ఎముకలు దెబ్బతిని, మెడ నిలబెట్టలేని పరిస్థితి. దీనివల్ల కొద్దిగా మెడ కదిలినా ఊపిరి అందక ప్రాణాపాయ పరిస్థితి తలెత్తుతుంది) అనే సమస్య మూడేళ్ల వయసు పిల్లల్లో నయం చేయడం చాలా కష్టం. వాళ్ల ఎముకలు చాలా పల్చగా, కేవలం 2.5 మిల్లీమీటర్ల చుట్టుకొలతతోనే ఉంటాయి. అందువల్ల వాటికి శస్త్రచికిత్స చేసి, స్క్రూలు బిగించడం చాలా ఇబ్బందికరం. మూడేళ్లలోపు పిల్లల ఎముకలకు ఫ్యూజ్ చేయడానికి ఇంప్లాంట్లు కూడా ఇంతవరకూ ఎవరూ డిజైన్ చేయలేదు.
మూడేళ్ల బాలిక మెడ సరిగ్గా నిలబెట్టలేకపోవడంతో ఇటీవల ఆమె తల్లిదండ్రులు కిమ్స్ కొండాపూర్ ఆస్పత్రికి తీసుకొచ్చారు. ఆమె మెడ ఎముకల్లో సి1, సి2 వద్ద (అట్లాంటా యాక్సియల్) పయోజెనిక్ ఇన్ఫెక్షన్ ఉన్నట్లు గుర్తించాం. ముందుగా ఇన్ఫెక్షన్ తగ్గడానికి యాంటీబయాటిక్స్ ఇచ్చి, మెడకు కాలర్ పెట్టి, తగినంత విశ్రాంతి ఇచ్చాం. మూడు నెలల్లో కొంత మెరుగైంది గానీ, మెడనొప్పి మాత్రం పూర్తిగా తగ్గలేదు. దాంతో మరింత పూర్తిస్థాయిలో పరీక్షలు చేయగా, ఆమె మెడ దగ్గర ఎముకలు పూర్తిగా పాడైపోయాయని, దాంతో సి1, సి2 స్థిరత్వం పూర్తిగా పోయిందని గుర్తించాం.
ముందుగా ఆమెకు మూడు నెలల పాటు హాలో వెస్ట్ ఇమ్మొబిలైజేషన్ పద్ధతిలో చికిత్స చేశాం. అయినా ఆమె పరిస్థితి మెరుగుపడలేదు, మెడనొప్పితో పాటు నిలబెట్టలేకపోవడం అలాగే ఉంది. దాంతో ఆమె తల్లిదండ్రులు తీవ్ర ఆందోళనకు గురయ్యారు. ప్రపంచంలోనే ఇలాంటివి చాలా తక్కువ కేసులు ఉన్నాయి. భారతదేశంలో ఇప్పటివరకూ ఇలాంటి వ్యాధులకు విజయవంతంగా చికిత్స చేసిన కేసులు ఒక్కటీ లేవు.
చివరకు ఆమె ఎముకను ఫిక్స్ చేయడానికి హెర్బెర్ట్ స్క్రూలు అనే చిన్న స్క్రూలను ఉపయోగించి శస్త్రచికిత్స చేయాలని నిర్ణయించాం. అందులో అత్యంత చిన్నవి 20 మిల్లీమీటర్ల పొడవు, 2.4 మిల్లీమీటర్ల వ్యాసంలో ఉన్నాయి. సీటీ స్కాన్లో పరిశీలిస్తే, బాలిక సి2 ఇస్త్మస్ 2.6 మిల్లీమీటర్ల వ్యాసం (మెడకు, వెన్నెముకకు మధ్య), పొడవు 20 నుంచి 24 మిల్లీమీటర్లు ఉన్నట్లుతెలిసింది. దాంతో ఆ స్క్రూలను ఉపయోగించి, చిన్న ఎముకలను సరిచేయాలని నిర్ణయించాం. అయితే, అప్పటికే ఇన్ఫెక్షన్ వ్యాపించి, ఎముకలు తీవ్రంగా దెబ్బతినడంతో, జాయింటును అతికించడానికి అక్కడ తగినంతగా ఎముకలు లేవు. దాంతో ఆమె తల్లి కటి ప్రాంతంలోని ఎముకను తీసి పాపకు అమర్చాలని భావించాం.
ఎట్టకేలకు శస్త్రచికిత్సకు అన్నీ సిద్ధం చేశాం. ముందుగా తల్లి కటి ప్రాంతం నుంచి ఒక ఎముకను తీసి, పాపకు ఇంట్రా ఆపరేటివ్ న్యూరల్ మానిటరింగ్ అమర్చి శస్త్రచికిత్స ప్రారంభించాం. జాయింటులో ఒకవైపు వెన్నెముకకు సంబంధించిన ప్రధాన రక్తనాళం (ఇదే మెదడుకు రక్తాన్ని సరఫరా చేస్తుంది), మరోవైపు వెన్నెముక ఉన్నాయి. 2.4 మిల్లీమీటర్ల హెర్బెర్ట్ స్క్రూ సిస్టంను ఉపయోగించి, వైర్ల సాయంతో స్క్రూను అమర్చి, సి1, సి2 జాయింట్లు రెండింటినీ విజయవంతంగా సరిచేశాం. చుట్టుపక్కల ఉన్న నిర్మాణాలు, అవయవాలు వేటికీ ఎలాంటి గాయాలూ కాలేదు. తొలి ప్రయత్నంలోనే కచ్చితమైన శస్త్రచికిత్స చేయగలిగాం. అట్లాస్ కేబుళ్లను కూడా వెనకవైపు నుంచి ఉపయోగించి, అతికించిన ఎముకను స్థిరంగా ఉండేలా చేశాం. ఫ్యూజన్ను మరింత పెంచేందుకు కృత్రిమ డీఎంబీ, బి-టీపీసీలను కూడా ఉపయోగించాం. శస్త్రచికిత్స అనంతరం తీసిన ఎక్స్-రేలలో అంతా బాగుండటంతో పాపను ఆరు రోజుల తర్వాత ఆస్పత్రి నుంచి డిశ్చార్జి చేశాం.
ఇలాంటి సమస్యలున్న వారికి భారతదేశంలో విజయవంతంగా చేయడం ఇదే మొదటిసారి, ప్రపంచంలో కూడా చాలా తక్కువగా ఉన్నాయి. కచ్చితమైన ప్రణాళిక, టెక్నాలజీని ఉపయోగించడంతో ప్రాణాపాయ పరిస్థితిలో ఇబ్బంది పడుతున్న చిన్నారికి మళ్లీ సాధారణ జీవితాన్ని అందించగలిగాం" అని డాక్టర్ కె. శ్రీకృష్ణ చైతన్య, డాక్టర్ పరాగ్ డెకాటే వివరించారు.
* అత్యంత కీలకమైన శస్త్రచికిత్స
హైదరాబాద్, సెప్టెంబర్ 24, 2022: సాధారణ జలుబుతో మొదలై, ఇన్ఫెక్షన్ వ్యాపించి.. మెడ ఎముకలు తీవ్రంగా దెబ్బతిని ప్రాణాపాయంలో పడిన ఓ మూడేళ్ల చిన్నారికి కిమ్స్ ఆస్పత్రి వైద్యులు సంక్లిష్టమైన శస్త్రచికిత్స చేసి, ప్రాణాలు నిలబెట్టారు. ఈ బాలికకు వచ్చిన సమస్యను, ఆమెకు అందించిన చికిత్స వివరాలను కొండాపూర్ కిమ్స్ ఆస్పత్రికి చెందిన కన్సల్టెంట్ ఆర్థోపెడిక్స్, స్పైన్ సర్జన్ డాక్టర్ కె. శ్రీకృష్ణ చైతన్య, కిమ్స్ కడల్స్ ఆస్పత్రికి చెందిన చిన్నపిల్లల వైద్య నిపుణుడు డాక్టర్ పరాగ్ డెకాటే తెలిపారు.
"అట్లాంటో ఆక్సియల్ ఇన్స్టెబిలిటీ (మెడ ఎముకలు దెబ్బతిని, మెడ నిలబెట్టలేని పరిస్థితి. దీనివల్ల కొద్దిగా మెడ కదిలినా ఊపిరి అందక ప్రాణాపాయ పరిస్థితి తలెత్తుతుంది) అనే సమస్య మూడేళ్ల వయసు పిల్లల్లో నయం చేయడం చాలా కష్టం. వాళ్ల ఎముకలు చాలా పల్చగా, కేవలం 2.5 మిల్లీమీటర్ల చుట్టుకొలతతోనే ఉంటాయి. అందువల్ల వాటికి శస్త్రచికిత్స చేసి, స్క్రూలు బిగించడం చాలా ఇబ్బందికరం. మూడేళ్లలోపు పిల్లల ఎముకలకు ఫ్యూజ్ చేయడానికి ఇంప్లాంట్లు కూడా ఇంతవరకూ ఎవరూ డిజైన్ చేయలేదు.
మూడేళ్ల బాలిక మెడ సరిగ్గా నిలబెట్టలేకపోవడంతో ఇటీవల ఆమె తల్లిదండ్రులు కిమ్స్ కొండాపూర్ ఆస్పత్రికి తీసుకొచ్చారు. ఆమె మెడ ఎముకల్లో సి1, సి2 వద్ద (అట్లాంటా యాక్సియల్) పయోజెనిక్ ఇన్ఫెక్షన్ ఉన్నట్లు గుర్తించాం. ముందుగా ఇన్ఫెక్షన్ తగ్గడానికి యాంటీబయాటిక్స్ ఇచ్చి, మెడకు కాలర్ పెట్టి, తగినంత విశ్రాంతి ఇచ్చాం. మూడు నెలల్లో కొంత మెరుగైంది గానీ, మెడనొప్పి మాత్రం పూర్తిగా తగ్గలేదు. దాంతో మరింత పూర్తిస్థాయిలో పరీక్షలు చేయగా, ఆమె మెడ దగ్గర ఎముకలు పూర్తిగా పాడైపోయాయని, దాంతో సి1, సి2 స్థిరత్వం పూర్తిగా పోయిందని గుర్తించాం.
ముందుగా ఆమెకు మూడు నెలల పాటు హాలో వెస్ట్ ఇమ్మొబిలైజేషన్ పద్ధతిలో చికిత్స చేశాం. అయినా ఆమె పరిస్థితి మెరుగుపడలేదు, మెడనొప్పితో పాటు నిలబెట్టలేకపోవడం అలాగే ఉంది. దాంతో ఆమె తల్లిదండ్రులు తీవ్ర ఆందోళనకు గురయ్యారు. ప్రపంచంలోనే ఇలాంటివి చాలా తక్కువ కేసులు ఉన్నాయి. భారతదేశంలో ఇప్పటివరకూ ఇలాంటి వ్యాధులకు విజయవంతంగా చికిత్స చేసిన కేసులు ఒక్కటీ లేవు.చివరకు ఆమె ఎముకను ఫిక్స్ చేయడానికి హెర్బెర్ట్ స్క్రూలు అనే చిన్న స్క్రూలను ఉపయోగించి శస్త్రచికిత్స చేయాలని నిర్ణయించాం. అందులో అత్యంత చిన్నవి 20 మిల్లీమీటర్ల పొడవు, 2.4 మిల్లీమీటర్ల వ్యాసంలో ఉన్నాయి. సీటీ స్కాన్లో పరిశీలిస్తే, బాలిక సి2 ఇస్త్మస్ 2.6 మిల్లీమీటర్ల వ్యాసం (మెడకు, వెన్నెముకకు మధ్య), పొడవు 20 నుంచి 24 మిల్లీమీటర్లు ఉన్నట్లుతెలిసింది. దాంతో ఆ స్క్రూలను ఉపయోగించి, చిన్న ఎముకలను సరిచేయాలని నిర్ణయించాం. అయితే, అప్పటికే ఇన్ఫెక్షన్ వ్యాపించి, ఎముకలు తీవ్రంగా దెబ్బతినడంతో, జాయింటును అతికించడానికి అక్కడ తగినంతగా ఎముకలు లేవు. దాంతో ఆమె తల్లి కటి ప్రాంతంలోని ఎముకను తీసి పాపకు అమర్చాలని భావించాం.
ఎట్టకేలకు శస్త్రచికిత్సకు అన్నీ సిద్ధం చేశాం. ముందుగా తల్లి కటి ప్రాంతం నుంచి ఒక ఎముకను తీసి, పాపకు ఇంట్రా ఆపరేటివ్ న్యూరల్ మానిటరింగ్ అమర్చి శస్త్రచికిత్స ప్రారంభించాం. జాయింటులో ఒకవైపు వెన్నెముకకు సంబంధించిన ప్రధాన రక్తనాళం (ఇదే మెదడుకు రక్తాన్ని సరఫరా చేస్తుంది), మరోవైపు వెన్నెముక ఉన్నాయి. 2.4 మిల్లీమీటర్ల హెర్బెర్ట్ స్క్రూ సిస్టంను ఉపయోగించి, వైర్ల సాయంతో స్క్రూను అమర్చి, సి1, సి2 జాయింట్లు రెండింటినీ విజయవంతంగా సరిచేశాం. చుట్టుపక్కల ఉన్న నిర్మాణాలు, అవయవాలు వేటికీ ఎలాంటి గాయాలూ కాలేదు. తొలి ప్రయత్నంలోనే కచ్చితమైన శస్త్రచికిత్స చేయగలిగాం. అట్లాస్ కేబుళ్లను కూడా వెనకవైపు నుంచి ఉపయోగించి, అతికించిన ఎముకను స్థిరంగా ఉండేలా చేశాం. ఫ్యూజన్ను మరింత పెంచేందుకు కృత్రిమ డీఎంబీ, బి-టీపీసీలను కూడా ఉపయోగించాం. శస్త్రచికిత్స అనంతరం తీసిన ఎక్స్-రేలలో అంతా బాగుండటంతో పాపను ఆరు రోజుల తర్వాత ఆస్పత్రి నుంచి డిశ్చార్జి చేశాం.
ఇలాంటి సమస్యలున్న వారికి భారతదేశంలో విజయవంతంగా చేయడం ఇదే మొదటిసారి, ప్రపంచంలో కూడా చాలా తక్కువగా ఉన్నాయి. కచ్చితమైన ప్రణాళిక, టెక్నాలజీని ఉపయోగించడంతో ప్రాణాపాయ పరిస్థితిలో ఇబ్బంది పడుతున్న చిన్నారికి మళ్లీ సాధారణ జీవితాన్ని అందించగలిగాం" అని డాక్టర్ కె. శ్రీకృష్ణ చైతన్య, డాక్టర్ పరాగ్ డెకాటే వివరించారు.