BMC hospital saves mother with ruptured uterus having dead baby
Mumbai, Dec 4: In a life-saving operation, a team of medicos at the BMC’s LTMG Sion Hospital managed to save a pregnant woman with a ruptured uterus, which had a dead baby inside owing to a placenta leakage, officials said here on Monday.
The 29-year-old woman, a resident of Govandi suburb in north-east Mumbai, was rushed to the hospital at an advanced 38.2 weeks pregnancy recently.
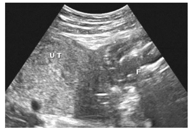
A team of medicos headed by Dr. Niranjan Chavan, Dr. Pushpa C, Dr. Darshana Ajmera, Dr. Monika Dhausak, and Dr. Swara Patel examined her and an ultrasound test indicated an ‘intrauterine fetal demise’ (the baby dead), with the placenta completely covering the patient’s internal organs.
“The patient had some bearable pain for the past 12 hours which was not linked to any vaginal bleeding… and she appeared to be asymptomatic. During the physical examination of the abdomen which was soft and tender, the foetal parts could be felt, but the uterus outline was not palpable, and the foetal heart sounds were missing or inaudible,” said Chavan.
The patient, who has a four-year-old son from her previous pregnancy, was sent for a repeat obstetric ultrasound scan which showed an empty uterine cavity and the apparently dead foetus thrown to the left side of the uterus in the abdominal cavity.
Chavan’s team rushed thewoman for an emergency surgery and successfully managed to stitch up the punctured uterus by stitching the laceration in the lower segment that helped save her life and the uterus.
At the same time, the dead foetus was also delivered and around half-litre blood which had accumulated in the mother’s abdominal cavity was removed.
After five days of post-operative care, the patient was discharged this week, and she was found to be recovering well in all her subsequent week-long follow-up examinations, Chavan added.
LTMG Sion Hospital Dean Dr. Mohan Joshi said that the overall incidence of uterine ruptures in patients with a prior caesarean birth is around 0.3 per cent (3/1,000 deliveries).
However, a punctured uterus is more rampant in patients with a second vaginal delivery after a caesarean (1.59/1,000) in contrast to first vaginal birth after a caesarean (0.72/1,000).
Joshi lauded his team for the successful management of the patient with the unusual and one-of-its-kind case reported at the civic hospital.
The 29-year-old woman, a resident of Govandi suburb in north-east Mumbai, was rushed to the hospital at an advanced 38.2 weeks pregnancy recently.
A team of medicos headed by Dr. Niranjan Chavan, Dr. Pushpa C, Dr. Darshana Ajmera, Dr. Monika Dhausak, and Dr. Swara Patel examined her and an ultrasound test indicated an ‘intrauterine fetal demise’ (the baby dead), with the placenta completely covering the patient’s internal organs.
“The patient had some bearable pain for the past 12 hours which was not linked to any vaginal bleeding… and she appeared to be asymptomatic. During the physical examination of the abdomen which was soft and tender, the foetal parts could be felt, but the uterus outline was not palpable, and the foetal heart sounds were missing or inaudible,” said Chavan.
The patient, who has a four-year-old son from her previous pregnancy, was sent for a repeat obstetric ultrasound scan which showed an empty uterine cavity and the apparently dead foetus thrown to the left side of the uterus in the abdominal cavity.
Chavan’s team rushed thewoman for an emergency surgery and successfully managed to stitch up the punctured uterus by stitching the laceration in the lower segment that helped save her life and the uterus.
At the same time, the dead foetus was also delivered and around half-litre blood which had accumulated in the mother’s abdominal cavity was removed.
After five days of post-operative care, the patient was discharged this week, and she was found to be recovering well in all her subsequent week-long follow-up examinations, Chavan added.
LTMG Sion Hospital Dean Dr. Mohan Joshi said that the overall incidence of uterine ruptures in patients with a prior caesarean birth is around 0.3 per cent (3/1,000 deliveries).
However, a punctured uterus is more rampant in patients with a second vaginal delivery after a caesarean (1.59/1,000) in contrast to first vaginal birth after a caesarean (0.72/1,000).
Joshi lauded his team for the successful management of the patient with the unusual and one-of-its-kind case reported at the civic hospital.