Epidemic: బ్లాక్ ఫంగస్ ను ఎపిడెమిక్ గా గుర్తించండి.. రాష్ట్రాలకు కేంద్రం ఆదేశం
- ఇప్పటికే రాజస్థాన్, తెలంగాణ, తమిళనాడుల్లో గుర్తింపు
- కేసుల గుర్తింపు, చికిత్సలో ప్రొటోకాల్ తప్పనిసరి
- ప్రతి కేసునూ ఆరోగ్య శాఖకు వెల్లడించాల్సిందే
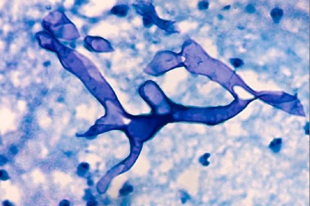
బ్లాక్ ఫంగస్ కేసులు విపరీతంగా పెరిగిపోతుండడంతో.. దానిని ఎపిడెమిక్ గా గుర్తించాలని అన్ని రాష్ట్రాల ప్రభుత్వాలకు కేంద్ర ప్రభుత్వం ఆదేశాలు జారీ చేసింది. ఎపిడెమిక్ డిసీజెస్ యాక్ట్ కింద దానిని ‘ప్రమాదకరమైన జబ్బు’గా గుర్తించాలంటూ ఈ రోజు కేంద్ర ఆరోగ్య శాఖ లేఖ రాసింది.
బ్లాక్ ఫంగస్ కేసుల గుర్తింపు, చికిత్స, నిర్వహణలో ప్రభుత్వ మార్గదర్శకాలను అన్ని ప్రభుత్వ, ప్రైవేటు ఆసుపత్రులు తప్పనిసరిగా పాటించాలిన ఆరోగ్య శాఖ సంయుక్త కార్యదర్శి లవ్ అగర్వాల్ ఆదేశించారు. తాజా ఆదేశాలతో ప్రతి బ్లాక్ ఫంగస్ కేసునూ జిల్లాల అధికారులు ఆరోగ్య శాఖకు, రాష్ట్ర ప్రభుత్వాలు కేంద్ర ఆరోగ్య శాఖకు వెల్లడించాల్సి ఉంటుంది.
ఇప్పటికే రాజస్థాన్, తెలంగాణ, తమిళనాడులు బ్లాక్ ఫంగస్ ను ఎపిడెమిక్ గా గుర్తిస్తూ ఉత్తర్వులిచ్చాయి. మహారాష్ట్రలో 1,500 మంది దాని బారిన పడగా.. 90 మంది చనిపోయారు. దాని మరణాల రేటు 50 శాతంగా ఉంది.
బ్లాక్ ఫంగస్ కేసుల గుర్తింపు, చికిత్స, నిర్వహణలో ప్రభుత్వ మార్గదర్శకాలను అన్ని ప్రభుత్వ, ప్రైవేటు ఆసుపత్రులు తప్పనిసరిగా పాటించాలిన ఆరోగ్య శాఖ సంయుక్త కార్యదర్శి లవ్ అగర్వాల్ ఆదేశించారు. తాజా ఆదేశాలతో ప్రతి బ్లాక్ ఫంగస్ కేసునూ జిల్లాల అధికారులు ఆరోగ్య శాఖకు, రాష్ట్ర ప్రభుత్వాలు కేంద్ర ఆరోగ్య శాఖకు వెల్లడించాల్సి ఉంటుంది.
ఇప్పటికే రాజస్థాన్, తెలంగాణ, తమిళనాడులు బ్లాక్ ఫంగస్ ను ఎపిడెమిక్ గా గుర్తిస్తూ ఉత్తర్వులిచ్చాయి. మహారాష్ట్రలో 1,500 మంది దాని బారిన పడగా.. 90 మంది చనిపోయారు. దాని మరణాల రేటు 50 శాతంగా ఉంది.