Chicken bone: చికెన్ తింటుండగా బాలుడి గొంతులో ఇరుక్కున్న ఎముక.. చాకచక్యంగా తొలగించిన వైద్యులు
- ఆహారనాళంలో ఇరుక్కుపోయిన ఎముక ముక్క
- రెండు రోజుల తర్వాత కాంటినెంటల్ ఆసుపత్రికి
- ఇలాంటి కేసుల్లో మరణం సంభవించే అవకాశం ఉందన్న వైద్యులు
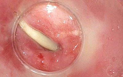
చికెన్ తింటుండగా బాలుడి ఆహార నాళంలో ఇరుక్కుపోయిన ఎముక ముక్కను వైద్యులు చాకచక్యంగా తొలగించారు. హైదరాబాద్, నానక్రామ్గూడ కాంటినెంటల్ వైద్యుల కథనం ప్రకారం.. లింగంపల్లికి చెందిన పదేళ్ల బాలుడు నాలుగు రోజుల క్రితం చికెన్ తింటుండగా గొంతులో ఎముక ముక్క ఇరుక్కుపోయింది. ఆహార నాళంలో ఇది అడ్డంగా ఇరుక్కుపోవడంతో బాలుడు విలవిల్లాడాడు. దీంతో రెండు రోజుల తర్వాత తల్లిదండ్రులు అతడిని కాంటినెంటల్ ఆసుపత్రికి తరలించారు.
పరీక్షల అనంతరం చాకచక్యంగా వ్యవహరించి గొంతులో ఇరుక్కున్న ఎముక ముక్కను వైద్యులు తొలగించారు. అనంతరం పలు పరీక్షల ద్వారా ఆహార నాళం మామూలుగా పనిచేస్తున్నట్టు గుర్తించారు. ఇలాంటి కేసుల్లో నాళంలో ఇరుక్కున్న ఎముకను త్వరగా తీయకుంటే నాళానికి రంధ్రం ఏర్పడే ప్రమాదం ఉందని, కొన్నిసార్లు మరణం సంభవించే అవకాశం కూడా ఉందని వైద్యులు హెచ్చరించారు.
పరీక్షల అనంతరం చాకచక్యంగా వ్యవహరించి గొంతులో ఇరుక్కున్న ఎముక ముక్కను వైద్యులు తొలగించారు. అనంతరం పలు పరీక్షల ద్వారా ఆహార నాళం మామూలుగా పనిచేస్తున్నట్టు గుర్తించారు. ఇలాంటి కేసుల్లో నాళంలో ఇరుక్కున్న ఎముకను త్వరగా తీయకుంటే నాళానికి రంధ్రం ఏర్పడే ప్రమాదం ఉందని, కొన్నిసార్లు మరణం సంభవించే అవకాశం కూడా ఉందని వైద్యులు హెచ్చరించారు.